ホーム - ブログ - 【症例紹介】深い歯周ポケットを改善!歯周組織再生療法

【症例紹介】深い歯周ポケットを改善!歯周組織再生療法

※手術中の写真が表示されます。苦手な方は閲覧をお控え下さい。

 

みなさん、こんにちは!歯科衛生士の池田です。

 

今回は、重度の歯周病に対する「歯を支える骨を作る治療(歯周組織再生療法)」の症例をご紹介します。

「奥歯の歯茎が腫れる」「深いポケットがあると言われた」といったお悩みを持つ方は少なくありません。以前であれば抜歯を選択せざるを得なかったようなケースでも、薬剤と技術を用いることで、歯を保存できる可能性が広がっています。

 

 

患者様の状況

40代 男性

初診の方 歯科医院1年半ぶり
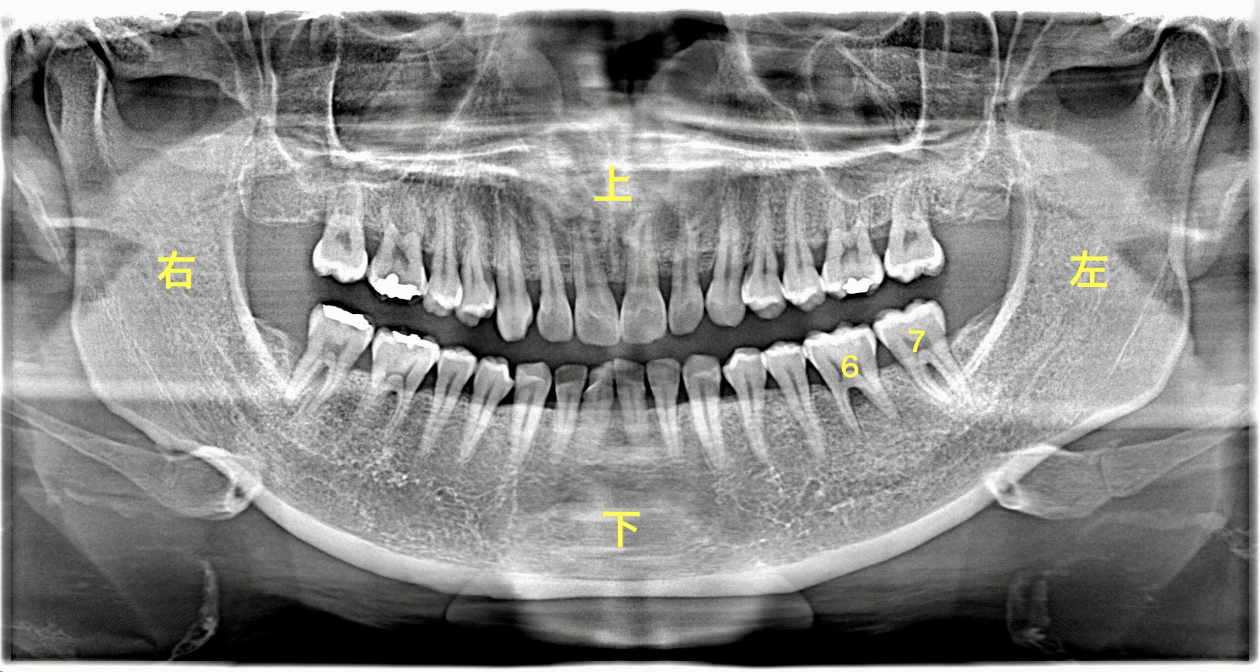
• 部位: 左下の奥歯(6番・7番)
• 症状: 6番頬側(ほっぺた側)中央に6mm、7番頬側(ほっぺた側)中央に7mm非常に深い歯周ポケットを確認。

 

 

 

レントゲン所見: 歯を支える骨が部分的に深く溶けてしまう「垂直性骨欠損」を確認。

※垂直性骨欠損:骨が水平に減るのではなく、部分的に深く掘れるように減っている状態

通常、健康な歯茎の溝は1〜3mm程度です。7mmとなると、歯ブラシはもちろん、通常の歯科医院でのクリーニング器具も届きにくく、放っておくと確実に歯を失う方向へ進んでしまいます。

そこで今回は、**リグロス**という薬剤を用いた再生療法を行うことになりました。

 

 

治療の様子

 

1. 術前の検査(レントゲン)

 

レントゲン写真を見ると、歯の根の周りの骨がくさび状に黒く影になっているのが分かります。これが骨が溶けているサインです。

 

2. 手術(歯周外科処置)

 

麻酔を行い、歯茎を丁寧に開きます。

実際に歯茎を開いてみると、レントゲンの通り、骨が深くえぐれるように無くなっていました。ここにある歯石や感染した組織(不良肉芽)を徹底的に除去します。

 

3. リグロスの塗布

 

 

きれいになった骨の欠損部分に「リグロス」を塗布します。
リグロスは、細胞を増やす成長因子(bFGF)を主成分とするお薬です。これを塗ることで、失われた歯周組織(骨や歯根膜)の再生を強力に促します。

4. 縫合

最後に歯茎を元の位置に戻して縫合し、手術は終了です。

 

今後の経過について

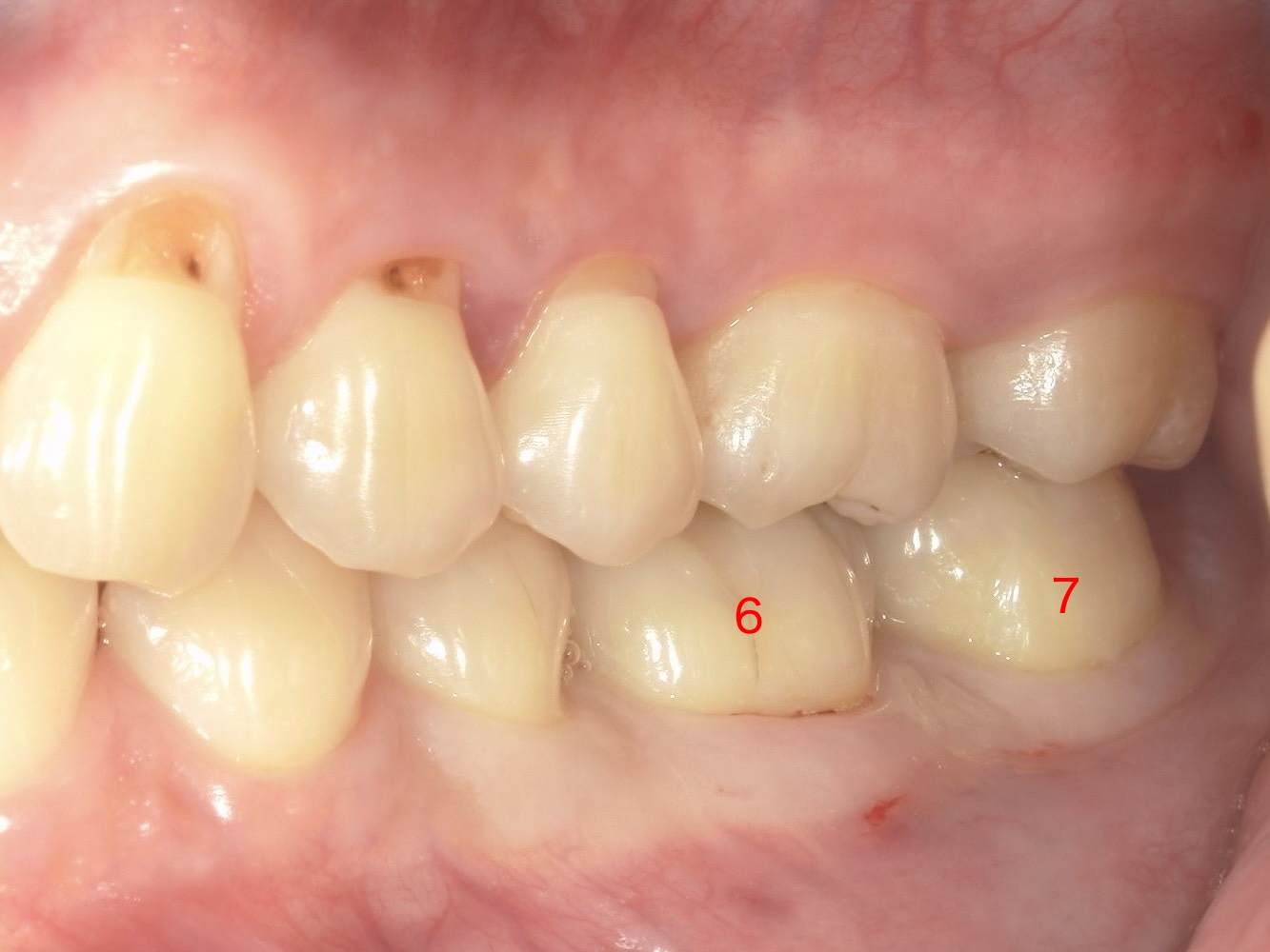
術後4ヶ月後

 

この治療は「手術をして終わり」ではありません。リグロスによってスイッチが入った細胞が、これから数ヶ月〜半年かけてゆっくりと骨を再生していきます。

 

1. 軟組織(歯肉や結合組織)が先行して治癒している

 

骨(硬組織)よりも、歯肉や線維(軟組織)の方が早く治癒します。

 

炎症の消失と引き締まり: 手術によって汚れ(歯石や不良肉芽)が徹底的に除去されたことで炎症が治まり、歯肉の腫れが引いて引き締まっています。

結合組織の付着: リグロスの作用により線維芽細胞が活発に増殖し、歯の根の表面(セメント質)に強固なコラーゲン線維のネットワーク(結合組織性付着)を形成し始めています。これにより、検査用の器具(プローブ)が深く入らなくなり、臨床的に「ポケットが改善した」状態になります。

 

2. 「未石灰化の骨(類骨:るいこつ)」ができている状態

ここが最も重要なポイントです。
骨ができる過程では、まずコラーゲンなどのタンパク質を主体とした「骨の枠組み(類骨)」が作られ、そこに後からカルシウムリンが沈着して硬くなります(石灰化)。

 

※カルシウム・リンが配合されてる歯磨きこはこちら↓↓

歯医者さんも使っている歯磨き粉【クリンプロ】

 

レントゲンに写らない理由: レントゲンはカルシウムなどのミネラル成分に反応して白く写ります。この段階では「骨のベースとなる柔らかい組織はできているが、まだカルシウムが十分に沈着していない」ため、レントゲンを透過してしまい、黒く(骨がないように)見えているだけです。

 

3. レントゲンで確認できるまでの「タイムラグ」

 

組織再生には明確なタイムラグがあります。

ポケットの改善(軟組織の治癒):術後1〜3ヶ月程度で実感しやすい。
骨のレントゲン上の変化(硬組織の成熟):早くても術後6ヶ月、はっきりと白く確認できるようになるには9ヶ月〜1年以上かかるのが一般的です。

この期間、再度汚れが溜まってしまうと再生が阻害されてしまうため、ご自身での丁寧なブラッシングと、当院での定期的なメンテナンスが非常に重要になります。

 

手術前に知っておきたい大切な条件

 

「希望すれば誰でもすぐに受けられる」というわけではありません。
せっかくの手術を成功させ、治療後も健康な状態を長く維持するためには、いくつかのクリアすべき条件があります。

 

1. セルフケア(歯磨き)が十分にできていない

これが最も重要な条件です。歯周病の根本的な原因は「プラーク(細菌の塊)」です。
どんなに素晴らしい手術をしてお口の中を綺麗にしても、日々のブラッシングが不十分でプラークコントロールができていなければ、すぐに再発してしまいます。
そのため、まずは「正しい歯磨き」を身につけていただくことが、手術への第一歩となります。

 

2. 全身疾患のコントロールができていない

歯周外科治療は、局所麻酔を伴う外科処置(手術)です。そのため、以下のような全身疾患がある方は、お身体の安全のために手術を見送る、あるいはかかりつけの医師との連携が必要になります。

 

重度の糖尿病: 傷の治りが悪く、感染リスクが高まります。
高血圧・心疾患: 麻酔や手術のストレスが身体の負担になる場合があります。
骨粗しょう症(一部のお薬): 服用しているお薬の種類によっては、顎の骨にトラブルが起きるリスクがあります。
血液をサラサラにするお薬を飲んでいる方: 出血が止まりにくくなるため、事前の確認が必須です。

 

3. 喫煙の習慣がある(ヘビースモーカーの方)

タバコに含まれるニコチンは血管を収縮させ、歯ぐきの血流を悪くします。これにより、手術後の傷の治りが極端に遅くなったり、治療(特に骨の再生治療など)の効果が十分に得られなくなったりする可能性が非常に高くなります。
手術を成功させるためには、禁煙を強くお勧めしています。

 

4. 歯周病が「進行しすぎている」場合

 

残念ながら、歯を支える骨がすでに大部分溶けてしまっており、歯がグラグラで「どうしても残すことが難しい」と診断されるケースもあります。この場合は、無理に手術をするよりも、抜歯をしてお口全体のバランスを整える方が、将来的な生活の質(QOL)の向上につながることもあります。

 

 

最後に
「他院で抜歯と言われたけれど、どうしても歯を残したい」
「奥歯の違和感が消えない」
そのような方は、骨を再生させる治療(リグロス)が適応できる可能性があります。
今回の左下6、7番のケースのように、適切な処置を行うことで歯の寿命を延ばすことができます。
歯周病でお悩みの方は、ぜひ一度ご相談ください。

 

✨✨ご予約をご希望の方はこちらからクリックしてください✨✨

 

 

関連記事はこちら↓

Instagram

 

健康な歯を保つ3つの方法

歯医者で受けてる?クリーニング

歯を傷つけず綺麗に!エアフロー

歯がなくなる原因3選

最悪 死にます

知ってますか!?

抜ける原因になる 歯の特徴!

口腔内フローラを改善するためには?

口腔内フローラが乱れるとどうなる?

体の健康の大きく関わる?!口腔内フローラとは?

ハビットプロ

早めの対応がね オススメですよ!

歳取った時に、歯がなくなる可能性

あなたは大丈夫?歯に物が挟まる主な原因と対処法

適切な頻度で受けましょう 歯の定期検診 受けるメリット

ちゃんと受けてる?歯の定期検診 何をするの?

一年に一回は少ない!?歯の定期検診 効果的な頻度は?

ボロボロ?!歯をボロボロにする習慣って?

スケーリングやっていきます!

是非 定期的な受診を

知ってた? 口元美人は歯茎が大事!!

あなたわ大丈夫?唾液が減ると病気になる?!

手遅れになっちゃうかも?重度の歯周病!?症状4選

これって病気の兆候?歯の見た目で健康状態がわかる?!

あなたは大丈夫?自分じゃわからない口臭の確認方法

ボロボロになちゃってますね

気をつけて!歯周病の原因となる習慣って?

あなたは大丈夫?8/10人が歯周病と診断されている?!

放置すると危ない?!歯周病を知っていますか?

わかるかな 歯石がいっぱい

うわ!

やばいねこれは

超音波スケーラーを

知らなかったかも 歯磨きは1日何回?頻度とタイミング

重要!夜の歯磨き、しないで寝ると?

舌磨きって

かなり歯石がもう

どうしたらいいの?歯垢と歯石 対処法

もっと100点に近づくんじゃないかな

SRPセミナー

歯石を砕いて

予防歯科 実はあなたも…歯周病5つのサイン

ボロボロに

予防歯科 当てはまるのは?口臭の匂い5つの原因

予防歯科 虫歯を放置したらどうなる?

予防歯科 気をつけて!歯の痛みでわかる病気

予防歯科 簡単に出来る!口臭ケア4つのポイント

歯がボロボロに

歯周病は

半分以上

もしかして

あなたは

薬用マウスウォッシュ コンクールF

予防歯科 知ってほしい予防歯科の重要性

ピカ

あなたの口臭 臭ってるかも

予防歯科 予防プログラム「GBT」のメリット

不妊症の原因

歯を雑に磨いたり

日本人の3割しか

歯周病 あなたは大丈夫?歯周病の8つのサイン

ウルトラフロス

自分の口臭を一発で確認する方法

歯周病 ちゃんとできてる?歯周病 予防方法

歯周病 あなたは大丈夫?歯周病は気付きにくい!?

歯周病 80%以上が歯周病!?実は歯周病はすごく怖い病気です

フロアフロス

口臭ケア 気になる口臭 改善方法

口臭ケア 気になる口臭 種類と原因

当院について 各分野のスペシャリストによるチーム医療

クラプロックス 歯間ブラシ

クラプロックス CS5460

ケアグッズ処方箋

エアフローについて

EMSdental GBT

縁下歯石

エアフロークリーニング

 

Blog

歯肉炎と歯周炎の違いを知っていますか?

来年も健康な歯で過ごすために!年末チェックリス ト!

風邪予防にもお口のケアが大切

5分で測定できる唾液検査

歯科衛生士おすすめ! フロアフロス:もう手放せない!歯ぐきに優しい新習慣

歯科医師が教える!【歯ブラシの選び方】

歯医者さんも使っている歯磨き粉【クリンプロ】

歯が抜けてしまう怖い病気【歯周病】について

歯の着色を綺麗に!エアフローについて

武蔵小杉の歯医者|武蔵小杉グレイス歯科・
矯正歯科

日付:   カテゴリ:ブログ

※WEB予約が埋まっていても当日受診可能な場合がありますのでお電話ください。