審美セラミック治療
「機能美」まで考慮した
審美セラミック治療

審美歯科とは、欠けた歯をきれいにしたり、前歯の並びを整えたり、銀歯を白くしたりなど、歯をキレイにするためにセラミック素材の被せもの(クラウン・インレー)を使用して治療することをいいます。
セラミック治療のメリットは、
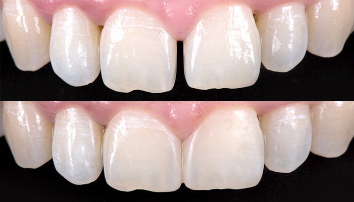
その高い審美性
-
天然歯の様な、歯の先端の部分の透明感、歯の根元から先にかけての綺麗なグラデーションを再現することができます。
もちろん、元の歯の状態にもよりますが、レベルの高いプロの技工士が作るセラミッククラウンは、天然歯とほぼ見分けがつかない仕上がりになります。通常、保険診療の中でも被せものは作れます。いわゆる銀歯と呼ばれる金属を使用しているため強度に強く、保険適用なので、お財布にも優しく手頃です。
しかし、一般に保険適用の被せ物よりも、保険適用外の自由診療で作る歯のほうが丈夫で長持ちする傾向にあります。保険の被せ物にはいくつかのデメリットがあります。
保険治療の被せ物のデメリット
前歯の被せ物
中身は金属で
外から見える部分のみ白いプラスチック製
- 時間が経つと変色してしまい、見た目が悪くなる
- 裏側から金属が見えてしまう
- 時間が経つと金属が錆びて溶け出し、歯や歯茎の変色、金属アレルギーを引き起こす可能性がある
奥歯の被せ物
金属冠
- 全て金属素材なのでギラギラ目立ち、見た目が良くない
- 時間が経つと金属が錆びて溶け出し、歯や歯茎の変色、金属アレルギーを引き起こす可能性がある
自由診療の上質なセラミックの
優れた特徴
- 変色しない
- アレルギーなし
- 美しい見た目
- 歯垢や歯石も付きにくい素材
セラミックは天然の歯に近い色調で、ほとんど変色しない材質です。長持ちするため作り替えが少なく、結果的にお財布に優しい選択になります。また、オールセラミックは全てセラミック素材で作成するため体に優しく、金属アレルギーのある患者さまにも適応可能です。
天然歯のような美しい透明感があり、周囲の天然歯の色を合わせて自然な美しい白さに調整が可能です。表面がツルツルしているので歯垢や歯石も付きにくく、保険の適用の被せ物と違い、日常のお手入れも楽です。
審美セラミック治療の嬉しいポイント
歯の色の調整
ご自分の歯と限りなく近づけることも、モデルさんの様な白い歯にするなど、その方に合わせたお色味の調整が可能です。元々歯の黄色みが強い方も、変色歯の方も、歯を白くすることで口元や笑顔をより素敵にすることができます。
歯の形や先端ライン修正
歯の形が不揃いで、歯の先端が揃っていない方も、歯並びが悪いというわけではなくても、乱れた印象になります。そこで、ラミネートベニア法を行い、歯の形を整えると、美しい印象にする事ができます。
歯並び改善
矯正歯科治療でも歯並びを改善することはできますが、セラミック治療で歯並びを改善すると、短期間で歯並びの改善、ご希望の歯の色を調整、歯の形まで綺麗に治療することが可能です。
セラミックの治療方法
オールセラミッククラウン法
-
歯の全体を削り、
セラミックの被せ物(クラウン)をしますホワイトニングやラミネートベニアでも白い歯にならない歯や、虫歯などに侵された歯の外側を削り、そこに人工材料で作った冠(クラウン)をかぶせる方法です。歯の色や形、歯並びなどの審美的要素をトータルに改善することができます。
オールセラミックス・クラウンは金属を一切使用していない被せ物なので、色調の点でもきわめて自然の歯に近いものを再現することができ、前歯など審美性が重要な部分の歯の治療に適します。また、この方法で部分的な歯列の矯正も可能です。
セラミックインレー法
-
天然の歯の色と同じ
セラミックの詰め物(インレー)です小さな虫歯の場合、その悪くなった部分だけを取り除き、その穴をきれいに形成した上で人工材料の詰め物をおこないます。これがインレー法という施術です。
インレー法で使う詰め物には、従来金属が使用されていましたが、審美性を高めるためセラミックを使用するセラミック・インレー法が開発されました。
金属とちがい天然歯に合わせたカラーリングが可能なので、美しく自然な仕上がりが期待できます。また最近では、すでに治療済みの奥歯の詰め物をセラミック・インレーに詰め替える方が増えています。
ラミネートベニア法
-
歯の表面を削り、
薄いセラミックの板を貼り付けます遺伝的にホワイトニングだけでは白い歯にならない場合や、歯の形態を直したい時に、歯の表層を少し削り、セラミックを貼る方法です。
治療期間は2回程度の通院で済みます。 材質はポーセレン(セラミック)ですから、歯ぐきにもやさしく、磨耗や変色の心配もありません。
歯を白くするだけでなく、虫歯やねじれた歯、磨耗した歯、奇形歯などにも幅広く適応でき、セラミック片の形や大きさを調整することで、歯並びや歯の形を修正できます。
ダイレクトボンディング法
-
歯に直接レジンを盛り付けて、
色や形をキレイに整えますダイレクトボンディングは、審美修復用レジン(セラミックを含んだ樹脂)を用いて、虫歯を削った部分に盛りつけて形を整える修復治療法です。
歯を長く持たせるためには、虫歯を取り残さずに最小限に削った上で健康な歯質を可能なかぎり残すことが重要となります。ダイレクトボンディング法を用いることで、被せ物や詰め物に比べて健康な歯を削る量を抑えながら歯の見た目をキレイに整えることができます。