こんにちは。
武蔵小杉グレイス歯科矯正歯科です。
今回のブログは諏訪が担当します🦷✨
「前歯のすき間が気になる」「欠けてしまったのをキレイにしたい」
というご相談はとても多いです。
今回は、当院で行っている ダイレクトボンディング という治療法を用いて、
前歯を自然な見た目に整えた症例をご紹介します。
まずダイレクトボンディングは、
歯をほとんど削らずに、短時間でキレイに仕上げられる人気の治療です。
ダイレクトボンディングとは?
ダイレクトボンディングは、
特殊な高品質レジンを直接歯に盛り足し、形や色を整える治療法です。
メリット
歯をほとんど削らない(削除量が最小限)
1回の来院で完成することが多い
色や質感を細かく再現でき、自然な仕上がり
すき間・欠け・形の不調和など幅広く対応
セラミックよりも 費用が抑えられる
費用はこちら
咬合面のみ:44,000円
隣接面含む:55,000円
前歯 :55,000円
(税込)
※2年保証
デメリット
経年的な着色が起こることがある
セラミックに比べると 耐久性はやや劣る
咬合力が強い部位は不向きの可能性がある
✔️こんな方におすすめ👀
前歯のすき間(ブラックトライアングル)が気になる
歯の形を少しだけ変えたい
セラミックほど大掛かりな治療はしたくない
歯をあまり削りたくない
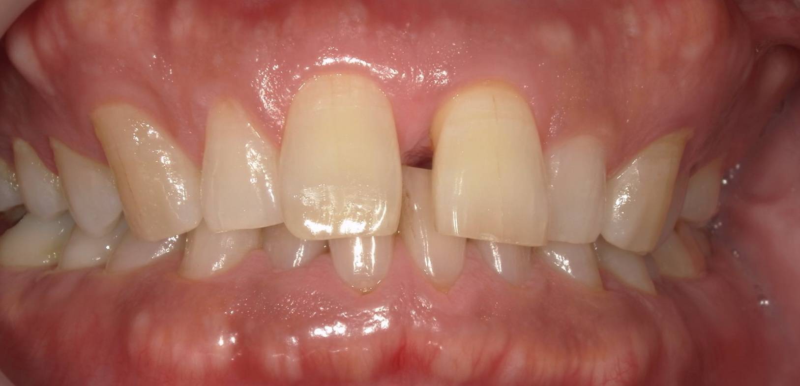
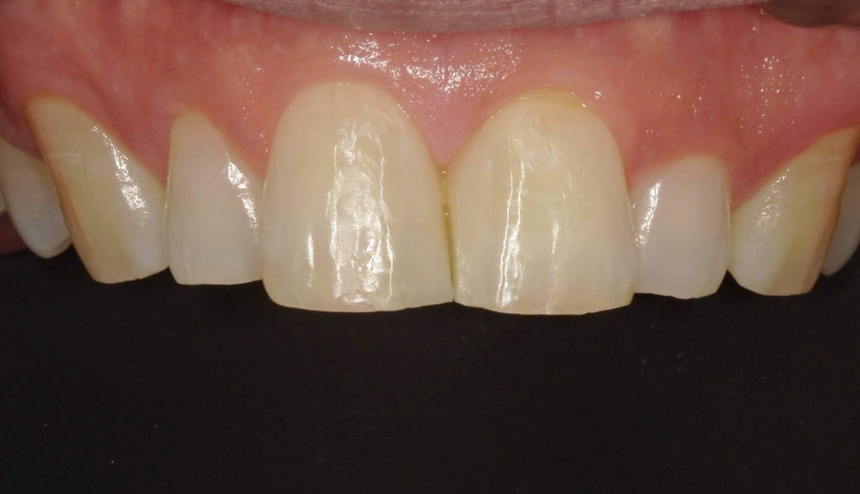
そして今回は、
「前歯のすき間が気になる」
というお悩みで来院された患者さまの症例です。
お写真の掲載にご協力いただきましたので、 治療前後の変化をご紹介します。
Before

After


いかがでしょうか?
「前歯の見た目が気になるけれど、大きな治療には抵抗がある」
そんな方にとって、ダイレクトボンディングは一つの選択肢になるかもしれません。
前歯の形やすき間などでお悩みの方は、お気軽にご相談ください。
状態に応じた治療方法をご提案いたします😌
関連記事はこちら
自然な歯を再現してくれる!まるで天然師?!ダイレクトボンディング
どんなことをするの?ダイレクトボンディング治療手順を教えて!
Blog
HP